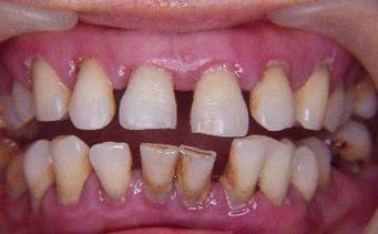
门牙出现牙龈萎缩怎么回事?
门牙出现牙龈萎缩怎么办?牙龈萎缩是常见的一种口腔疾病,主要由于口腔卫生做的不到位引起的,也有牙齿咬合过度引起。门牙牙龈萎缩会导致门牙出现细缝,极大的影响美观,也影响正常的牙齿功能。

怎么治疗门牙的牙龈萎缩?
1、为防止牙龈萎缩,减轻牙龈萎缩的程度,可采用牙龈按摩方法,以促进牙龈的血液循环。
2、采用垂直刷牙方法,以防止食物嵌塞,避免牙龈损伤。

3、避免骨性食物或砂子硌牙引起牙折。
当然,通过合适的食疗方法调节身体的营养均衡,对于身体健康肯定是有好处的。如果想令牙龈萎缩更快康复,建议能养成早睡早起习惯,早睡早起是肠胃调理的关键,能令每天气血充沛,对治疗牙龈萎缩效果好。
【预防门牙牙龈萎缩的方法】
1. 定期的口腔保健。保持牙齿清洁是延缓牙龈退缩的有效的方法,定期洗牙亦显得尤为重要。 9月中华人民共和国卫生部办公厅颁布的《中国居民口腔健康指南》中提倡每年洁牙一次,是预防牙龈炎症的有效措施。已有牙周病症状的患者,应及时接受系统牙周治疗。
2. 掌握正确的刷牙方法。推荐使用毛软,顶端圆钝的牙刷。牙膏以含氟牙膏为佳,其中含的摩擦剂应粗细合适。同时要学会正确的刷牙姿势,大多数人可采用竖刷法或短横颤动法。配合使用牙缝刷、牙线以清理牙刷难以彻底清洁的牙间隙。避免使用牙签,因为长期使用牙签剔牙容易刺激牙间隙处牙龈乳头的萎缩。
3. 到正规口腔医院或正规医院口腔科就诊。不要图便宜和方便,在一些技术水平不高、操作不规范的小诊所镶牙,这也是产生不良修复体和充填体导致牙龈萎缩的主要原因。
4.如觉得自己有个别牙发生异常移动,患者应及时到医院检查,以便对症处理。早发现、早诊断、早治疗,避免牙龈退缩加重。
提醒:定期的洗牙可以有效的清楚牙结石和牙菌斑,维护牙周健康,减缓牙龈萎缩。其实牙齿像白头发一样也是人们年龄增长的见证。很多人花钱去做头发,却舍不得对自己的牙齿好一点。头发漂亮了,但是嘴一张牙齿却把岁月的痕迹展露无遗,实在是有些可惜。
- 下一篇:做完美白牙齿能吃东西吗
- 上一篇:戴牙套后牙齿怎么做清洁?
 
- 
		  术后须知拔牙后24小时内严禁漱口、刷牙,以免引起出血。 

 021-60496674
021-60496674 
 












