如何有效的预防牙周炎呢?
发布时间:2016-12-02 来源:上海永华口腔门诊部
牙周炎所给人们带来的口腔危害是很大的,这点是需要大家注意的,所以为了能够很好的避免对口腔的危害发生,大家做好相关的预防工作很有必要,那么,如何有效的预防牙周炎的发生呢?
上海口腔齿科医生为大家介绍一下:
1、密切注意牙周疾病的早期信号。如果在刷牙或吃东西时,出现牙龈出血现象,要及早引起重视,因为这是牙周有炎症的表现,应尽早到医院诊治,查看龈下牙石情况,以及牙龈萎缩的情况。

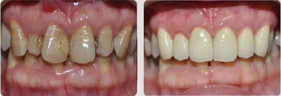
牙周炎危害大 所以人们要避免
2、有效提高牙齿及口腔的免疫能力。将牙周病扼杀在萌芽状态;同时可选购合适的牙膏、牙刷、牙线,避免选择不合适的口腔护理产品导致牙龈问题的恶化。
3、养成健康的饮食习惯。注意饮食结构要营养均衡,多吃白肉、蛋、蔬菜、瓜果等有益于牙齿口腔健康的食物;尽量少吃含糖食品,不抽烟,少喝酒,多吃富含纤维的食物,有利于口腔清洁。

出现牙周炎人们需要及早治疗
为了能够很好的保证口腔的健康,大家在日常生活中一定要注意以上几点,这样可以很好的预防牙周炎的出现,另外还需要大家知道的是,当已经患有牙周炎这种疾病了,是一定要及早的到正规医院检查的,这样可避免危害。
上海口腔遵循“为客户提供美的笑容”的办院宗旨,倡导文明的医德医风,构建和谐的医患关系。采用一患一医一诊疗的服务模式,保证了顾客的隐私。为顾客提供卓越的星级服务,人性化的豪华装修,环境舒适优美,给您一个不一样的美牙之旅。
- 下一篇:口腔患牙周炎有什么症状
- 上一篇:小儿四环素牙去哪家医院好?

-
术后须知
拔牙后24小时内严禁漱口、刷牙,以免引起出血。

021-60496674





